Pas op: Zwitserse man krijgt longproblemen door te hard masturberen

Pas op: Zwitserse man krijgt longproblemen door te hard masturberen

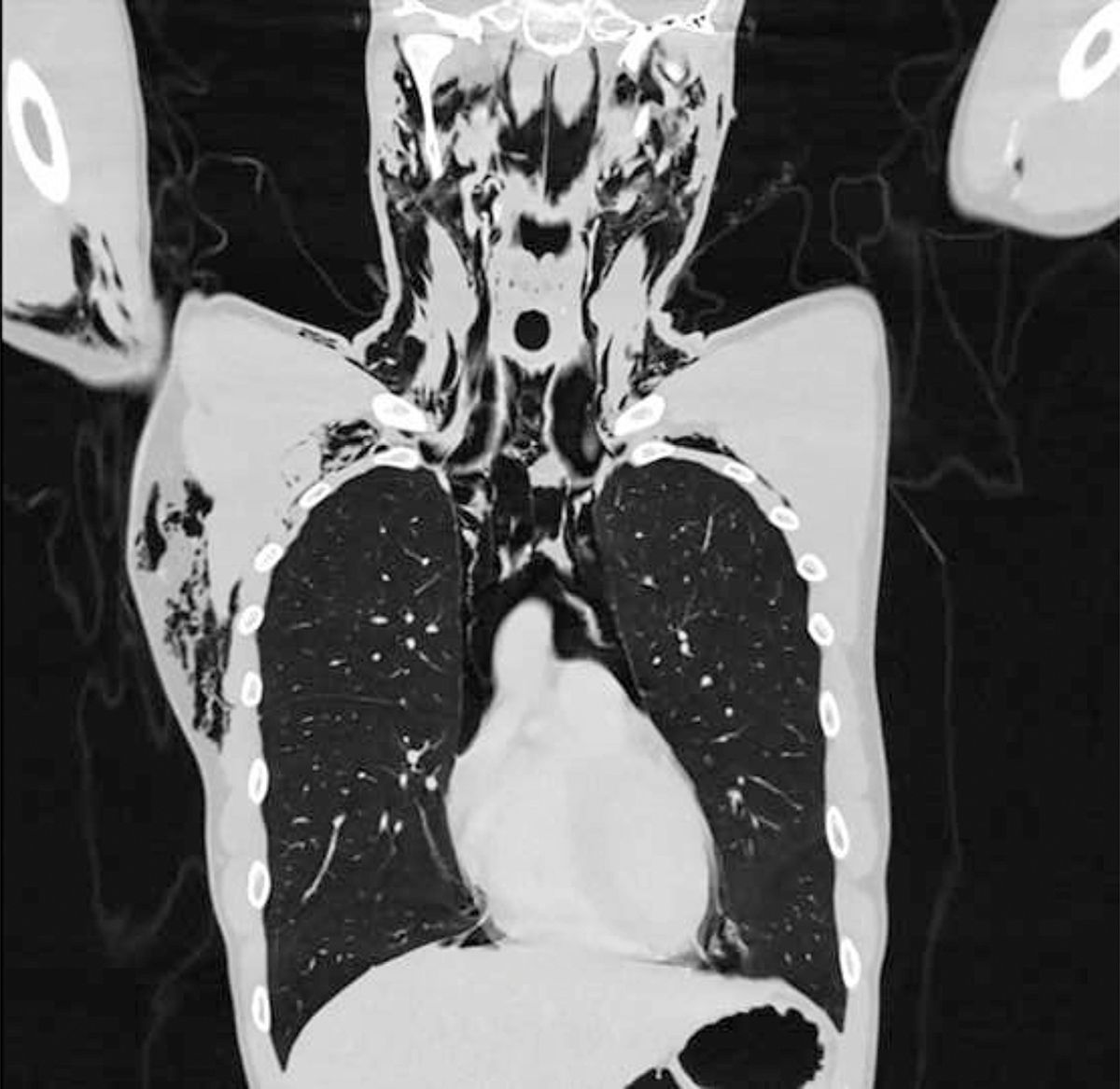
Even een kleine waarschuwing van onze kant, omdat wij weten dat jouw sokken niet zo stijf zijn geworden door deze dagelijks in behangplaksel te dopen. Maar een 20-jarige Zwitserse man heeft ernstige longproblemen opgelopen, omdat hij iets te fel de hand aan zichzelf sloeg. Met hevige pijn en kortademigheid moest hij met spoed naar het ziekenhuis. Na enkele röntgenfoto’s bleek de man een zogeheten spontaan pneumomediastinum te hebben opgelopen: er was lucht in de holte tussen zijn longen terecht gekomen.

De man ontkende eerst nog dat hij had geprobeerd het kampioenschap zwaar sjorren te verbreken, maar niet veel later moest hij zijn date met zijn rechterhand toch toegeven aan de artsen. Doordat er erg veel lucht uit zijn longen was ontsnapt en hij daardoor kermde van de pijn, lag hij niet veel later op de intensive care. Zijn gezicht was opgezwollen en er waren krakende geluiden te horen van zijn nek tot aan zijn ellebogen. Later ontdekten artsen dat er zelfs lucht terecht was gekomen aan de onderkant van zijn schedel.

Pas op: Zwitserse man krijgt longproblemen door te hard masturberen
Op de röntgenfoto’s was een grote hoeveelheid lucht te zien die uit de longen van de man was ontsnapt. Foto: Science Direct

Op de intensive care kreeg hij meerdere behandelingen, zoals het toedienen van zuurstof en pijnstillers. Vervolgens kon hij drie dagen op zaal bijkomen van zijn actie. Volgens het wetenschappelijke tijdschrift Science Direct is de Zwitserse man de eerste persoon die dit soort longproblemen heeft gekregen door excessieve masturbatie.

Lees meer over:

Plaats reactie

666

0 reacties

Laad meer reacties Bekijk alle reacties

Net binnen

Frans ziekenhuis schrikt zich kapot: man meldt zich met WO I-granaat in zijn achterwerk

Je denkt dat je alles wel zo’n beetje hebt gezien op de spoedeisende hulp. Gebroken armen, vreemde voorwerpen, mensen die din...

GGZ kijken we mee hoe deze gasten met blaffen proberen een dame te versieren?

De mensen die voornamelijk hun tijd in de grote stad doorbrengen hebben een hele andere aanpak van het versieren van een dame...

Ook een professional heeft weleens een oeps-momentje met z’n kettingzaag

Ooit begonnen als wapenfabrikant, maar vandaag de dag is het Zweedse Husqvarna vooral bekend als maker van thuisgereedschap,...

Dame raakt haar tand kwijt en dat wordt een mooie meme

Zo lach je met je beste vriendin, en zo staat het huilen je nader dan het lachen. Twee dames hebben iets te veel plezier, waa...

Olympisch sprintkanon Sha’Carri Richardson opgepakt in Florida, ook Christian Coleman de pineut

Olympisch sprintster Sha’Carri Richardson is deze week aangehouden in Orange County, Florida, na een verkeersstop die nét wat...

Lees meer